News & Events
Wave 2: Module 2: Lower Limb – Week 7 – Case 2
- February 19, 2025
- Posted by: admin
- Category: Uncategorized
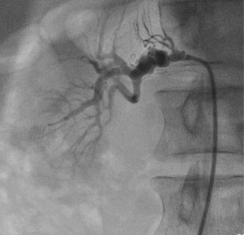
21 years old male presented with hypertension
USS shows smaller size right kidney and diminished PSV flow on renal artery
Kidney functions started to drop
Renal angiogram :

What is your diagnosis
What would be the management plan
What would be post-operative medications and surveillance
Q1 diagnosis
fibromuscular dysplasia involving the right renal artery with secondary RAS and secondary hypertension
Q2 management
controlling the HTN with ACE inhibitors repair of the RAS with endovascular stenting or open repair the renal artery / aorto- renal bypassit is better to avoid stent in FMD
Q3 post operatively
Antiplatelets is recommended post angioplasty ,but there is no evidence to support DOAC or anticoagulationmonitoring of the blood pressurefollow up duplex on renal arterydiffusion scan of the kidney to ensure the patency renal function
fibromuscular dysplagia involving the right renal artery with secondary RAS and secindary hypertension
controlling the HTN with ACE inhibitors , repair of the RAS with endovascular stenting or open repair the renal artery / aorto- renal bypass
post operatively Pt needs monitoring of the blood pressure and s crt, diffusion scan of the kidney to ensure the patency and renal function
Q(1):
Most probably Fibromusclar dysplasia because angiogram shows beaded appearance of the RT renal artery.
Q(2):
-Control of blood pressure.
-Nephrology consultation.
-Intervention: Balloon angioplasty with stenting in refractory cases only.
-Medications: Antiplatelets, antihypertensive drugs.
Q(3):
I would consider antiplatelets and ACE inhibitors
surveillance of patients: follow up by arterial duplex U/S of renal arteries, renal function tests and regular B.P monitoring.
FMD
Angioplasty with stenting only in refractory cases
Post op follow up with renal art DUS for PSV and patency along with KFT for the renal functions and surveillance of the carotid and iliacs as well as a common sites of the disease
Medications would be antiplatelet with low dose rivaroxiban post angioplasty not for the nature of the disease as it is a non atherosclerotic non inflammatory disorder
Very good approach, it is better to avoid stent in FMD
Antiplatelets is recommended post angioplasty , there is no evidence to support DOAC or anticoagulation
Good surveillance plan
very good
What do you suggest for surveillance post angioplasty
Very good methodical answer
Q1:
the renal angiogram shows beaded shaped right renal artery which is a finding of fibromuscular dysplasia (FMD)of the right renal artery
Q2:
the only option is balloon angioplasty of the right renal artery
Q3:
follow up his kidney function and his blood pressure and his anti hypertension medication
and u/s surveillance and assessment of his left renal artery and carotid artery
perfect, very systematic approach
A1.. FMF if the right renal artery
A2.. it will be managed by endovascular angioplasty by balloon dilatation
A3..
Post operative .
It is not atherosclerotic disease so long term antipletlets and anticoagulant I think will not gain benefit for the patient and I think follow up with renal duplex US is enough with follow up of renal function and blood pressure
very good, regarding anti platelet therapy it should be added as of sequences of angioplasty on the intimacy and to avoid early thrombosis
Very good, I would add BP control and surveillance of renal functions